Neiman, P E Day 15-18 normal embryonic bursa in chickens. Other. UNSPECIFIED. (Unpublished)
|
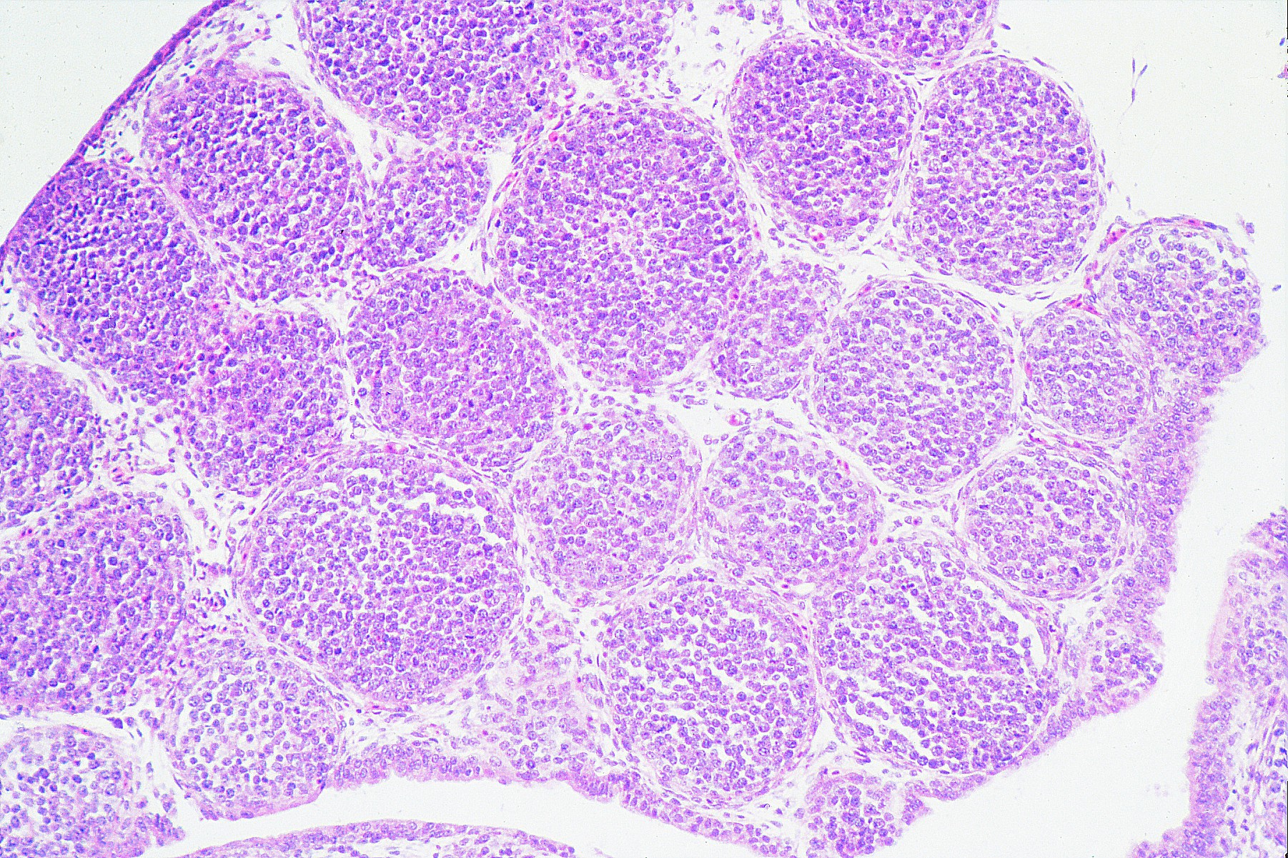
Image (15 day normal bursa, 100X)
18._NB_E15_100X Available under License Creative Commons Attribution. Download (243kB) |
|
|
Image (19. 15 day normal bursa, 400X)
19._NB_E15_400X Available under License Creative Commons Attribution. Download (268kB) |
|
|
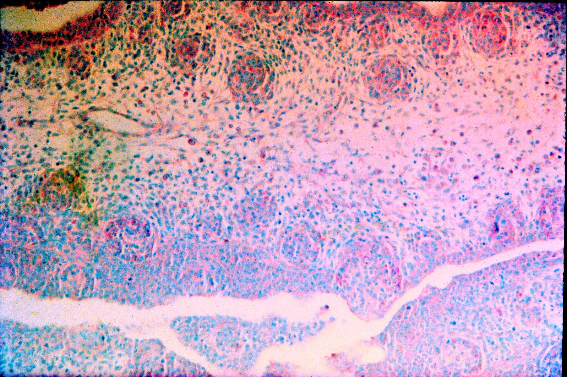
Image (20. 15 day normal bursa 100X (second slide))
20.__E15_bursa_#2 Available under License Creative Commons Attribution. Download (972kB) |
|
|
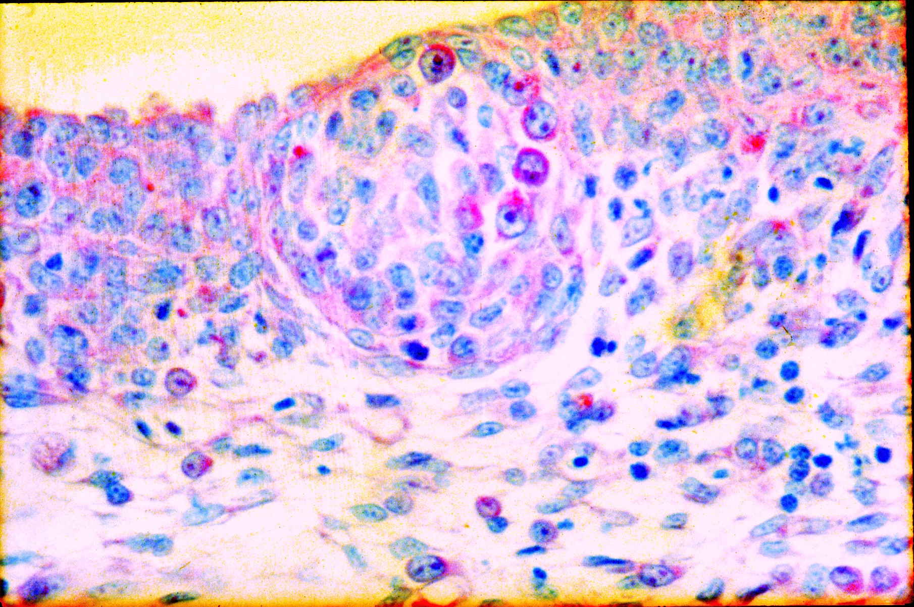
Image (21.15 day normal bursal follicles 400X (second slide))
21.__E15_follcle_400X Available under License Creative Commons Attribution. Download (830kB) |
|
|
Image (22. 15,14,13 day normal bursa composite)
22._E15:14:13_composite Available under License Creative Commons Attribution. Download (363kB) |
|
|
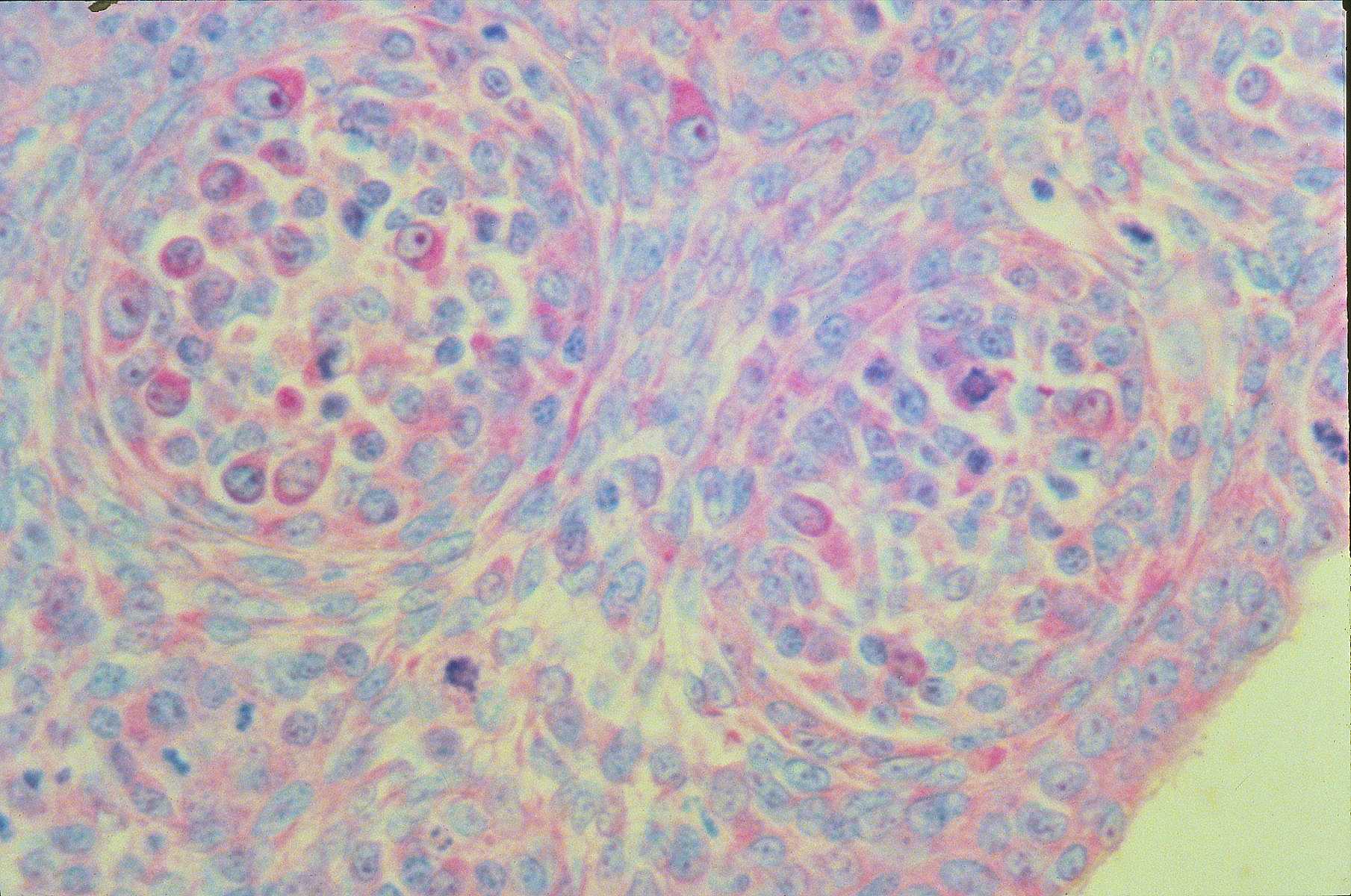
Image (23. 18 day normal bursa H&E)
23.__E18_norm_bursa_H&E Available under License Creative Commons Attribution. Download (1MB) |
Abstract
Early Embryonic Bursa. Images from “An atlas of normal and Myc-induced neoplastic development in the bursa of fabricius.” Access the full Atlas at http://authors.fhcrc.org/368
| Item Type: | Monograph (Other) |
|---|---|
| Additional Information: | These slides are freely available for educational purposes. If you would like to use any images in a publication, please acknowledge Paul Neiman as the source |
| Depositing User: | Library Staff |
| Date Deposited: | 15 Mar 2010 19:24 |
| Last Modified: | 14 Feb 2012 14:43 |
| URI: | http://authors.fhcrc.org/id/eprint/373 |
Repository Administrators Only
![]() |
View Item |
