Neiman, P E Cyclophosphamide (Cy) ablated bursa and follicles in chickens. Other. UNSPECIFIED. (Unpublished)
|
Image (36. Cy ablated follicles, residual cells)
36._CY_bursal_follicles Available under License Creative Commons Attribution. Download (1MB) |
|
|
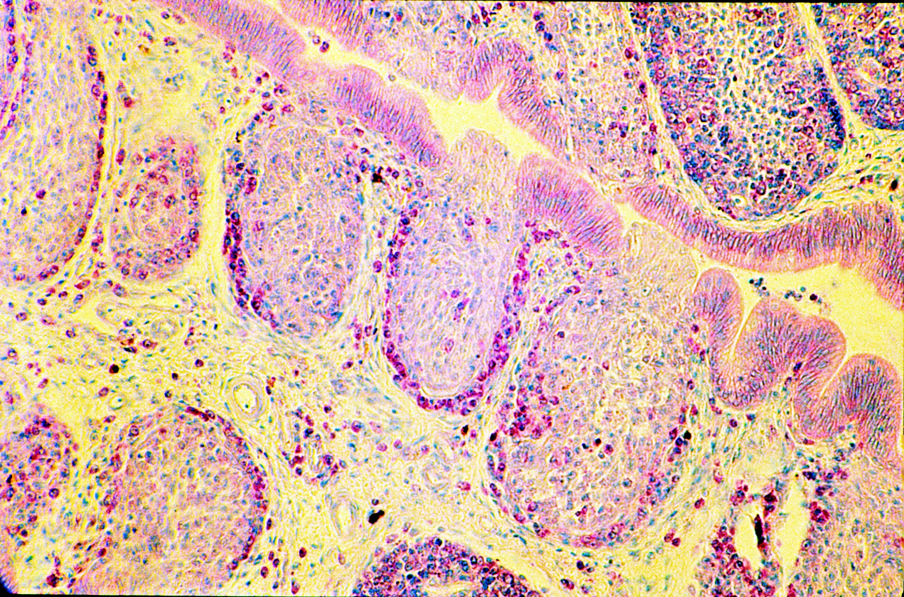
Image (37. Cy ablated bursa low power.)
37._Cy_depleted_follicles Available under License Creative Commons Attribution. Download (516kB) |
|
|
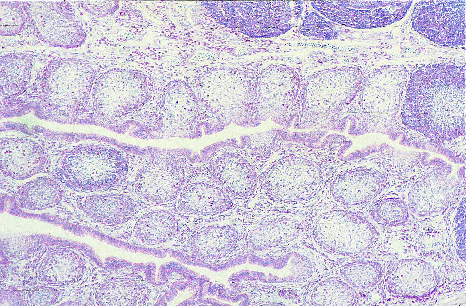
Image (38.. Cy ablated follicles, 400X)
38._Cyclophosphamide_bursa Available under License Creative Commons Attribution. Download (459kB) |
|
|
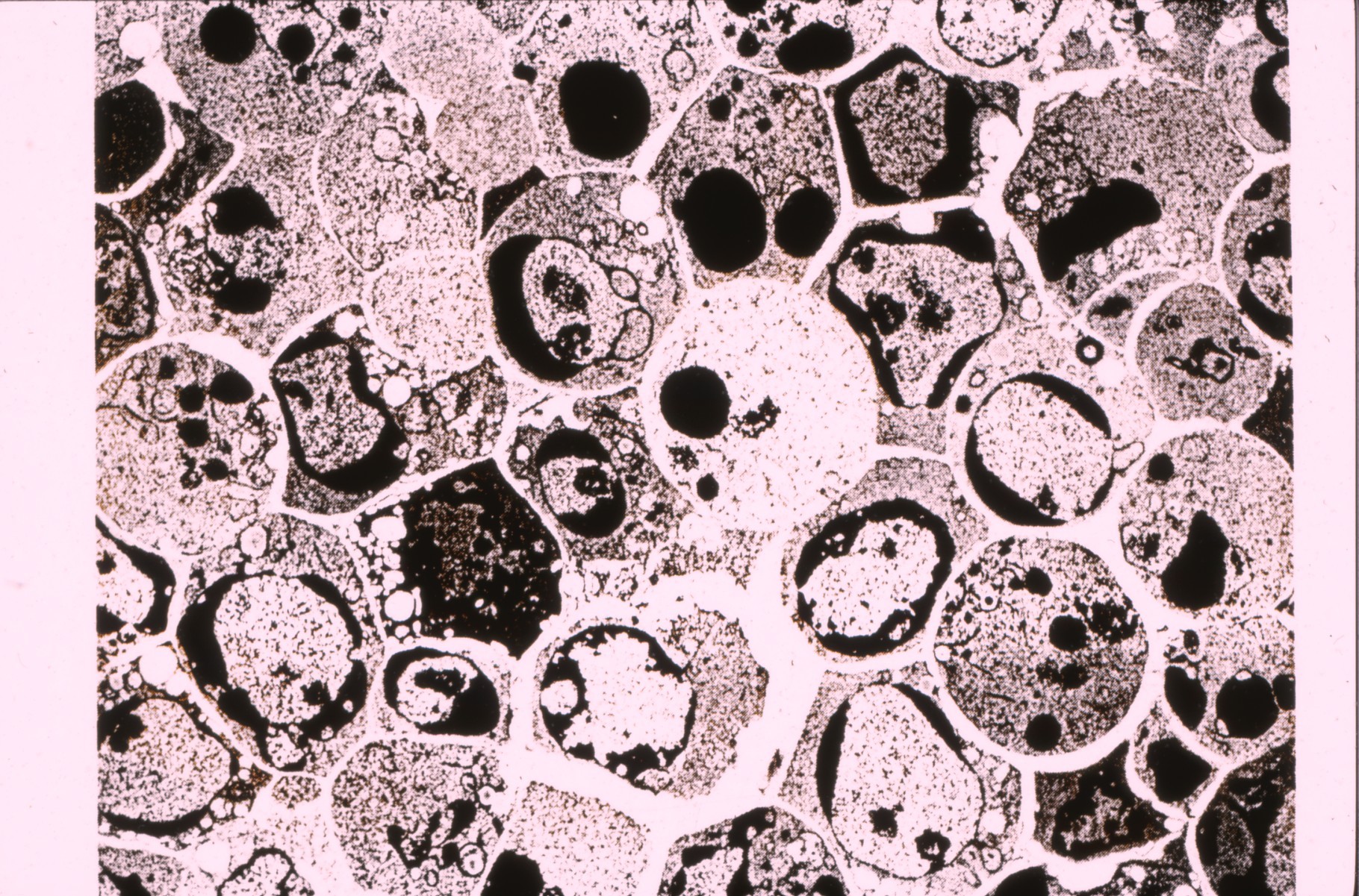
Image (39. EM of residual cells in Cy ablated bursa)
39__low_Mag_EM_Cy_bursa Available under License Creative Commons Attribution. Download (754kB) |
|
Preview |
Image (40. Low power EM of bursal cells after Cy treatment)
40._High_Mag_EM_CY_bursa_cells.jpg Available under License Creative Commons Attribution. Download (640kB) | Preview |
Abstract
Reconstitution of cyclophosphamide depleted bursal follicles and effects of constitutive over expression of Myc and other transgenes in chickens. Images from “An atlas of normal and Myc-induced neoplastic development in the bursa of fabricius.” Access the full Atlas at http://authors.fhcrc.org/368
| Item Type: | Monograph (Other) |
|---|---|
| Additional Information: | These slides are freely available for educational purposes. If you would like to use any images in a publication, please acknowledge Paul Neiman as the source |
| Depositing User: | Library Staff |
| Date Deposited: | 15 Mar 2010 20:05 |
| Last Modified: | 14 Feb 2012 14:43 |
| URI: | http://authors.fhcrc.org/id/eprint/377 |
Repository Administrators Only
![]() |
View Item |
